Dôsledky nedostatočnej dentálnej hygieny počas ortodontickej liečby

Ortodontická liečba je cestou ku krásnemu a zdravému úsmevu. No ako každá cesta, aj táto má svoje úskalia. Jedným z najväčších rizík, ktoré mnoho pacientov podceňuje, je nedostatočná dentálna hygiena počas nosenia fixných aparátov či alignerov. Často sa stáva, že nadšenie z "rovnania zubov" zatieňuje dôležitosť každodenného čistenia, a tak sa pacienti ocitnú v situácii, keď po zložení strojčeka zistia, že namiesto žiarivého úsmevu majú zuby oslabené, zafarbené či dokonca poškodené.
Predstavte si, že staviate krásny dom. Máte modernú architektúru, kvalitné materiály a skúseného staviteľa. No ak sa počas výstavby zanedbajú základy, celá stavba môže prísť o svoju pevnosť. Takto to je aj so zubami počas ortodontickej liečby – môžu byť perfektne vyrovnané, no ak pod nimi prebiehajú procesy poškodzovania skloviny, zápalu ďasien či kazivosti, výsledok nebude zdravý ani trvácny.
1. Zvýšené riziko zubného kazu a demineralizácie
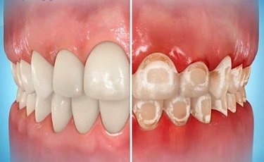
Najčastejším dôsledkom zlej ústnej hygieny počas ortodontickej liečby je tvorba zubného kazu. Nasadzovacie a fixné ortodontické aparáty vytvárajú množstvo zákutí, kde sa ľahko hromadí zubný povlak – lepkavý biofilm plný baktérií. Ak sa tento povlak neodstráni, baktérie začnú produkovať kyseliny, ktoré postupne narúšajú zubnú sklovinu.
Výsledkom môžu byť demineralizačné škvrny – biele, matné oblasti okolo zámkov a drôtikov, ktoré sú prvými známkami oslabenia skloviny. Ak sa problém nerieši, tieto oblasti sa môžu zmeniť na skutočné kazy. Po skončení liečby tak pacient namiesto hladkých zubov objaví neestetické mapy a škvrny či potrebu plombovania.
Pacienti často hovoria: "Veď si zuby čistím, ale niekedy to nestíham večer." No práve pri ortodontickej liečbe je dôležité, aby čistenie bolo precízne, pomalé a dôkladné, pretože aj malé množstvo zubného povlaku dokáže spôsobiť veľké škody.

2. Zápal ďasien a parodontálne problémy
Ďalším veľmi častým javom je gingivitída, teda zápal ďasien. Pri nosení fixného strojčeka sa jedlo často zasekáva medzi zubami a okolo drôtikov, čo vytvára dokonalé prostredie pre baktérie. Krvácajúce, opuchnuté a začervenané ďasná sú varovným signálom, že hygiena nie je dostatočná.
Ak sa zápal nelieči, môže prerásť do parodontitídy – vážnej infekcie, ktorá poškodzuje ďasná aj kostné tkanivo, ktoré drží zuby na svojom mieste. V extrémnych prípadoch môže dôjsť až k uvoľneniu alebo strate zubu, a to aj napriek tomu, že bol ortodonticky vyrovnaný.

3. Nepríjemný dych a znížené sebavedomie
Zubný povlak a zvyšky jedla zachytené pod drôtikom vytvárajú nepríjemný zápach. Halitóza (zápach z úst) je jeden z tých dôsledkov, ktoré pacienti často bagatelizujú, no v sociálnych situáciách dokáže byť veľmi nepríjemná.
Predstavte si tínedžera, ktorý čerstvo začal nosiť strojček. Prvotné sebavedomie z pocitu, že jeho zuby sa konečne narovnávajú, môže rýchlo zmiznúť, ak si spolužiaci začnú všímať nepríjemný zápach z úst. Tento problém dokáže veľmi negatívne ovplyvniť psychiku a motiváciu starostlivo sa starať o zuby.
4. Predĺženie ortodontickej liečby
Málokto si uvedomuje, že zlá hygiena priamo ovplyvňuje dĺžku liečby. Ak má pacient opuchnuté ďasná, kazivé zuby alebo zápaly, ortodontista musí často liečbu prerušiť alebo spomaliť, aby predišiel komplikáciám. To znamená viac kontrol, väčšie náklady a dlhší čas nosenia aparátu.
5. Trvalé estetické a zdravotné následky
Po skončení ortodontickej liečby sa odstránia zámky, drôtiky či alignery – ale následky zlej hygieny zostávajú. Poškodená sklovina sa síce dá čiastočne obnoviť pomocou fluoridov a remineralizačných prípravkov, no znečistené škvrny, kazy či ustupujúce ďasná môžu zanechať viditeľné stopy. Ortodontická liečba má pacientom priniesť nový úsmev a sebavedomie – no bez správnej starostlivosti môže mať opačný efekt.
Správna dentálna hygiena počas ortodontickej liečby nie je len doporučenie – je to základný pilier úspechu. Každý pacient by mal vedieť, že kefka, medzizubné kefky, jednozväzkové kefky, zubná niť a pravidelné návštevy u dentálnej hygieničky sú rovnako dôležité ako samotný strojček.
Nedostatočná starostlivosť totiž nie je len estetickým problémom – je to otázka zdravia.
Ortodontický aparát vás približuje k rovnejšiemu úsmevu, ale iba dôkladná dentálna hygiena zabezpečí, že tento úsmev bude aj zdravý, žiarivý a trvácny.

